25
Nov

Sharon Osbourne Admits to “A Lot”
has never been shy about admitting she's a big fan of plastic surgery. The 61-year-old looks amazing and the work she’s had done has allowed her to still look natural, yet extremely well kept for her age. Not one to shy away from honesty in the lime light, we’r...
View MoreCategories: blepharoplast New York Plastic Surgery
25
Nov

What is Organic Plastic Surgery?
You may have heard the term ‘organic' before, probably at the grocery store. You know, those fruits and vegetables that are grown without any pesticides or harmful toxins? Well, the same concept applies to plastic surgery. So what exactly is organic plastic surgery? Or...
View MoreCategories: New York Plastic Surgery breast augmentation
25
Nov

Vaginal Reconstruction Surgery on
Genital plastic surgery has been around for years, the most popular surgery being vaginal reconstruction and rejuvenation. Vaginoplasty and labiaplasty surgeries have been sought out by women around the country for decades for their ability to enhance the quality of life of patie...
View MoreCategories: Plastic Surgery Plastic Surgeon New York
25
Nov

Kim Kardashian Slams Plastic Surgery
Kim Kardashian post-pregnancy body has been the topic of debate for several months. It's only been five months since she gave birth to baby North West with fiancé, rapper Kanye West, but the 33-year-old starlet is shutting down any rumors she’s had plastic surg...
View More25
Nov

Tax on Plastic Surgery
Here in New York, Dr. David Shafer sees a lot of patients with a desire to improve their physical appearance. But while the Big Apple is one of the top spots in the U. S. to undergo plastic surgery, the number of people getting treatments doesn't even come close to the numbe...
View MoreCategories: New York Plastic Surgery blepharoplast
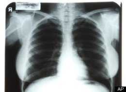
25
Nov

Marilyn Monroe’s X-rays Sell
Last month, we found out Marilyn Monroe had plastic surgery. This month, we find out that X-rays confirming the fact that the blonde bombshell went under the knife were sold at auction for…drum roll…a whopping $25,600. Yep, you heard right. A fan spent thousands on...
View MoreCategories: David Shafer New York Plastic Surgery blepharoplast
25
Nov

Mother-Daughter Surgery for
Neither Kim Kardashian nor her mother, Kris Jenner, are strangers to plastic surgery procedures. Kim has always been fond of Botox and her mother has undergone a few more invasive procedures, including a face lift and breast augmentation. But in the wake of giving birth to baby N...
View MoreCategories: David Shafer New York Plastic Surgery plastics surgeon
25
Nov

Divorce Over Plastic Surgery
Sounds absurd, right? But plastic surgery is at the root of one couple's divorce proceedings. A Chinese man asked for a divorce from his wife for giving birth to, in his opinion, an ugly baby girl. So, what happened? Well, he sued her - and surprisingly – won! U...
View MoreCategories: New York David Shafer Plastic Surgery Rhinoplasty
25
Nov

Heidi Montag Makes Smartest
There are many plastic surgery treatments that may benefit both young and older patients alike. With every age, there is an appropriate treatment. For example, patients in their 20s may opt for Rhinoplasty to correct a deviated septum or to improve the overall symmetry of their f...
View More25
Nov

Superfan Spends $100,000 on Surgery
How far would you go to look like your favorite celebrity? Would you change your hair? Lose some weight? Get new clothes? Would plastic surgery be an option? For one 33-year-old songwriter, the answer is yes. Toby Sheldon knows all about the Hollywood lime light and how to get it...
View MoreCategories: Plastic Surgeon Plastic Surgery New York David Shafer

